Tümör sınıflaması nedir ve nasıl yapılır?
Tümör sınıflaması, kanser tedavisinde kritik bir rol oynar. Tümörlerin histolojik özellikleri, evresi ve moleküler profillemesi gibi kriterlere göre gruplandırılması, doğru tedavi planlarının oluşturulmasına ve prognozun değerlendirilmesine olanak tanır. Bu süreç, hastaların tedavi seçeneklerini optimize eder.
Tümör Sınıflaması Nedir?Tümör sınıflaması, kanserin tanısını koymak, tedavi planlamasını yapmak ve prognozu değerlendirmek amacıyla tümörlerin belirli kriterlere göre gruplandırılmasıdır. Bu sınıflama, tümörlerin histolojik özelliklerine, büyüme şekline, evresine ve metastaz durumuna göre yapılmaktadır. Tümörlerin sınıflandırılması, klinik pratiğin önemli bir parçasıdır ve onkologlar tarafından hastaların tedavi süreçlerinde rehberlik etmek amacıyla kullanılır. Tümör Sınıflama SistemleriTümör sınıflaması için birçok sistem geliştirilmiştir ve bunlar genellikle şu başlıklar altında toplanır:
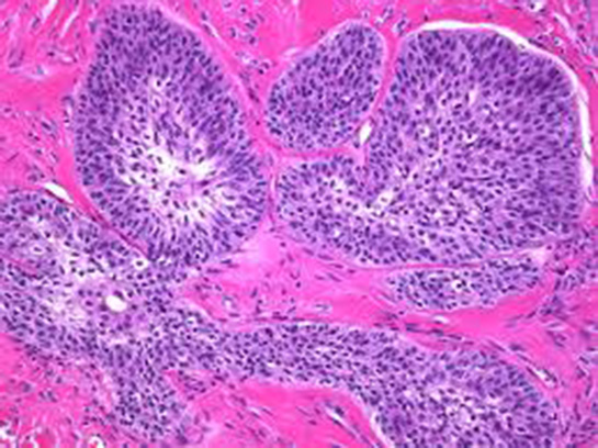
Histopatolojik Sınıflama Histopatolojik sınıflama, tümörlerin mikroskop altında incelemesiyle yapılan bir değerlendirmedir. Bu sınıflama, tümörlerin kaynaklandığı doku tipine göre yapılır ve genellikle şu başlıkları içerir:
Histopatolojik sınıflama, tümörlerin malignite potansiyelini belirlemede kritik bir rol oynamaktadır. Evrelendirme (Staging) Evrelendirme, tümörün vücutta ne kadar yayıldığını belirlemek için kullanılan bir sistemdir. En yaygın evrelendirme sistemi, TNM sistemidir ve üç ana unsurdan oluşur:
Bu evrelendirme, tedavi seçeneklerini ve prognozu belirlemede yardımcı olur. Grading (Derecelendirme)Grading, tümör hücrelerinin farklılaşma derecesini tanımlar. Düşük dereceli tümörler (G1), daha iyi farklılaşmış ve daha az agresifken, yüksek dereceli tümörler (G3) daha kötü farklılaşmış ve daha agresif olarak kabul edilir. Bu derecelendirme, tedavi stratejilerinin belirlenmesinde önemli bir faktördür. Moleküler Sınıflama Moleküler sınıflama, tümörlerin genetik ve biyolojik özelliklerine göre sınıflandırılmasını içerir. Bu sınıflama, tümörlerin moleküler profillemesi ile gerçekleştirilir ve bireyselleştirilmiş tedavi yaklaşımlarını desteklemek için kullanılır. Özellikle hedefe yönelik tedavilerin gelişimi açısından büyük önem taşımaktadır. Tümör Sınıflamasının Önemi Tümör sınıflaması, klinik karar verme süreçlerinde temel bir rol oynamaktadır. Bu sınıflama sayesinde:
Tümör sınıflaması, kanser tedavisinin temel taşlarından biridir ve her hastanın bireysel özelliklerine göre en uygun tedavi planının oluşturulmasında kritik bir öneme sahiptir. Sonuç Tümör sınıflaması, kanserin yönetiminde önemli bir araçtır. Histopatolojik, evrelendirme, derecelendirme ve moleküler sınıflama gibi çeşitli yöntemler kullanılarak, tümörlerin doğru bir şekilde değerlendirilmesi sağlanmaktadır. Bu sistemlerin etkin bir şekilde kullanılması, hastaların tedavi süreçlerinin optimize edilmesine ve yaşam kalitelerinin artırılmasına yardımcı olmaktadır. |





































